医療法人慶生会 ひぐち歯科クリニック

お問い合わせ
072-646-8445
 審美歯科

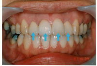
■メタルボンドクラウン

虫歯の治療あとをきれいにする方法のひとつで、大きな虫歯の場合に特に効果的です。メタルボンドクラウンは虫歯の治療後、歯の表面を削って金合金の薄いキャップにセラミックを焼き付けたクラウン(かぶせ物)を取り付ける方法で、従来から最もよく用いられているセラミック修復法です。保険治療で用いるレジンクラウンよりも材質が優れているため自然な歯の色を再現することができ、変色することもありません。特に、大臼歯やブリッジなど強度を必要とする修復に最適です。

治療費
110,000円

5年保障制度について

当クリニックでセラミック治療を終了された後、定期検診を継続して受けていただいている患者様に限り、5年以内に問題が生じた場合は追加の治療費なしに再治療などの対応をいたします。セラミック治療とはポーセレン・ラミネートベニア、メタルボンドクラウン、オールセラミッククラウン、ポーセレン・インレーのことです。治療後の状態を良好に保つため、1~3ヶ月ごとに歯のクリーニングを受けていただくことをお勧めします。

before → after

 

 診療科目
 メニュー

医療法人 慶生会
ひぐち歯科クリニック
〒567-0817
大阪府茨木市別院町3-34
サンワビル2F
Tel : 072-646-8445


Copyright (c)
HIGUCHI DENTAL CLINIC Med Co